





Giuseppe Consolini
Giuseppe Consolini è un Chirurgo Ortopedico che da oltre 15 anni si occupa di diagnosi, cura e chirurgia (protesica, open ed artroscopica) delle patologie di Spalla.
Laureato in Medicina e Chirurgia nel 1997 e specializzato nel 2002 in Ortopedia e Traumatologia presso l’Università degli Studi di Verona col massimo dei voti. È Dirigente Medico presso la U.O.C. di Ortopedia e Traumatologia dell’Ospedale “Carlo Poma” di Mantova, occupandosi di traumatologia sportiva e svolgendo attività clinica e chirurgica mirata alle patologie della spalla e del ginocchio, nel qual settore ha sviluppato competenze super specialistiche.
Professore a contratto presso…
Chi è il dott. Consolini?
Oltre 15 anni di carriera raccontati in meno di 2 minuti
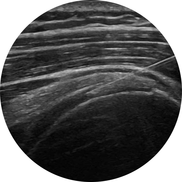
Visita ecoguidata
🔎 La visita ecoguidata di spalla è una valutazione clinica corredata da una contestuale ecografia dinamica e comparativa che permette di “guardare” dentro la struttura della spalla e identificare subito le cause del dolore.

Diagnosi immediata
Un’accurata visita specialistica e l’ecografia di spalla eseguita contestualmente permettono di individuare le cause del dolore e di porre immediatamente una diagnosi.

trattamento
Effettuata la diagnosi, verrà da subito proposto l’iter terapeutico più efficace, il più delle volte senza necessità di inviare il paziente ad eseguire ulteriori accertamenti.

Infiltrazioni ecoguidate
L’ecografo consente di eseguire le infiltrazioni alla spalla con estrema precisione permettendo il continuo monitoraggio del percorso dell’ago fino al tessuto bersaglio garantendo la massima efficacia terapeutica.

Intervento chirurgico
Esistono diverse opzioni chirurgiche, la maggior parte delle quali prevede tecniche mini-invasive (chirurgica artroscopica) permettendo di avere tempi più rapidi di recupero per il paziente.
Patologie della Spalla

Lesione della cuffia dei rotatori
Il dolore alla spalla irradiato al braccio che aumenta con lo sforzo e di notte è spesso il primo sintomo di una patologia della Cuffia dei Rotatori.

Spalla instabile
L’articolazione della spalla è la più mobile del corpo umano, ma proprio questa sua particolarità la rende vulnerabile e fragile. Una testa omerale sferica che…

Tendinopatia calcifica
La tendinopatia calcifica è una patologia dolorosa della spalla caratterizzata dalla presenza di depositi di sali di calcio all’interno dei tendini della cuffia…

Artrosi gleno-omerale
Nell’artrosi il tessuto cartilagineo viene progressivamente ed irreversibilmente danneggiato. Le superfici ossee…
Chirurgia della Spalla

Giuseppe Consolini
Il Dott. Giuseppe Consolini attualmente svolge l’attività di medico libero-professionale per attività assistenziali e chirurgiche con specializzazione in spalla e ginocchio.
Riceve negli orari e studi medici presenti a questo link.
Dal 2023 fa parte degli specialisti del “Joint Care Team” e del team “Spallaonline” diretto dal Dott. Paolo Baudi.
Spallaonline.it è il punto di riferimento di medici, fisioterapisti e pazienti. Sul sito è possibile informarsi e discutere le principali patologie a carico della spalla.
- Oltre 1000 articoli tematici
- Equipe di 30 professionisti specializzati
- Oltre 1mln di visite al mese sui canali social
Cosa dicono di me?
Non potrei essere più felice del lavoro che il dottor Consolini ha fatto sulla mia spalla. Dopo anni di dolore e difficoltà nel muoverla, sono finalmente in grado di utilizzare la mia spalla senza alcun problema. Il dottore è stato molto gentile e professionale durante tutto il processo e ha risposto a tutte le mie domande in modo dettagliato.

Daniela F.
intervento alla spallaIl dottor Consolini ha fatto un lavoro incredibile sul mio ginocchio. Prima dell’intervento, avevo difficoltà a camminare e fare esercizio fisico. Ora, grazie al suo lavoro, posso fare tutto senza alcun problemaÈ stato molto attento alle mie esigenze e ha risposto a tutte le mie domande in modo professionale e gentile. Grazie mille!

Martin S.
intervento al ginocchioHo avuto un problema alla spalla per anni e non sapevo cosa fare. Dopo aver incontrato il dottor Consolini, ho deciso di sottopormi all’intervento e non potevo essere più felice della mia scelta. Ha risolto il mio problema in modo rapido ed efficiente e mi ha fornito tutte le informazioni di cui avevo bisogno per riprendermi in modo sicuro e veloce.

Giovanni A.
intervento alla spallaSono rimasto molto soddisfatto del lavoro che il dottor Consolini ha fatto sulla mia ginocchio. Ha preso il tempo di spiegarmi tutto ciò che stava facendo e ha risposto a tutte le mie domande in modo dettagliato. Dopo l’intervento, ho avuto un recupero rapido e senza problemi. Lo consiglio vivamente a chiunque abbia bisogno di un intervento al ginocchio.

Giovanni A.
intervento alla spallaNon avrei potuto essere più felice del lavoro che il dottor Consolini ha fatto sulla mia spalla. Era molto gentile e professionale durante tutto il processo e mi ha fornito tutte le informazioni di cui avevo bisogno per avere un recupero rapido e senza problemi. Ora sono in grado di utilizzare la mia spalla senza alcun dolore o difficoltà.

Giovanni A.
intervento alla spalla
See Our Latest Blog
- Giuseppe Consolini
- 2 Comments
Get the Exercise Limited Mobility
It is a long established fact that a reader will be distracted by the readable content of a page when looking at its layout.
- Giuseppe Consolini
- 1 Comment
Transfusion strategy and heart surgery
It is a long established fact that a reader will be distracted by the readable content of a page when looking at its layout.
- Giuseppe Consolini
- 0 Comments
Latest Equipment for the Heart Treatment
It is a long established fact that a reader will be distracted by the readable content of a page when looking at its layout.
- Giuseppe Consolini
- 0 Comments
What is Future of Blood Pressure Monitoring?
It is a long established fact that a reader will be distracted by the readable content of a page when looking at its layout.
- Giuseppe Consolini
- 0 Comments
Goals Setting the people Heart is Healthy
It is a long established fact that a reader will be distracted by the readable content of a page when looking at its layout.
- Giuseppe Consolini
- 0 Comments
For Examination of kids get Special offers
It is a long established fact that a reader will be distracted by the readable content of a page when looking at its layout.
- Giuseppe Consolini
- 0 Comments
Heart Failure Treatment: High Blood Pressure
It is a long established fact that a reader will be distracted by the readable content of a page when looking at its layout.
- Giuseppe Consolini
- 0 Comments
Hard content we decide ourselves a intently
It is a long established fact that a reader will be distracted by the readable content of a page when looking at its layout.
- Giuseppe Consolini
- 0 Comments
Is Running Really Good for the Heart?
It is a long established fact that a reader will be distracted by the readable content of a page when looking at its layout.
- Giuseppe Consolini
- 0 Comments
Modeling data increase to endovascular therapy
It is a long established fact that a reader will be distracted by the readable content of a page when looking at its layout.